

“我要好好谢谢胸科医院!当时我肺上长了肿瘤,心脏血管也堵了,是胸科医院的专家把我两大难题都解决了。现在我吃得下也睡得好!”日前,上海市胸科医院接到一通特殊的感谢电话。来电者是73岁的王老伯,前不久,肿瘤与心脏病“夹击”,让他一度陷入“先治心还是先治肺”的难题。这样的“两难”抉择,正成为越来越多肿瘤患者面临的现实困境。上海市胸科医院运用肿瘤心脏病多学科诊疗的综合实力,与心胸整合病房的实践经验,为“心胸夹击”的患者找到了重获新生之路。
拆除心脏“炸弹”,为外科手术“抢”出时间
不久前,王老伯因肺部肿瘤入住胸科医院,准备接受外科手术。然而术前冠脉CTA检查发现了更为凶险的情况:左前降支近段重度狭窄达90%!这是心脏供血最重要的一根血管,就像埋着一枚“定时炸弹”,老人随时会发生心梗甚至猝死。“我当时真是懵了,感觉心脏和肺都在跟我作对。”王老伯回忆起当时的情形,仍心有余悸。
先处理心脏?传统冠脉支架植入后,需要服用抗血小板治疗至少3个月,等待意味着肿瘤进展、转移的风险与日俱增。先切肿瘤?麻醉和手术中心脏随时可能“罢工”,患者有生命危险!面对这一难题,胸科医院心内科、胸外科、麻醉科专家进行了多学科会诊,最终决定采用药物球囊血管扩张成形术进行救治。在解决心脏问题后,经过快速休养的王老伯又顺利接受了肺部肿瘤切除术。最近,他来医院复查显示,肺和心脏的状况都很好。
心内科副主任韩文正表示,“胸部肿瘤与心血管疾病具有共同的危险因素,对于这类围术期心血管高危的患者,心功能评估与监测十分重要,既能降低心血管疾病风险,也是为外科手术或后续治疗安全保驾护航。”
图A 冠脉造影术提示血管高度狭窄。图B 药物球囊扩张术后复查狭窄解除。图C 日前复查显示未见明显再狭窄
从“两难”到“共治”,心胸多学科协作是关键
随着肺癌逐步进入慢病管理、患者实现长期生存,肿瘤患者合并心脏病的比例持续走高。临床中,大量患者因术前未发现心血管隐患,在围术期或肿瘤药物治疗中出现血压升高、心律失常、心肌缺血等问题,被迫中断关键抗肿瘤治疗,严重影响生存。
针对这一临床刚需,上海市胸科医院于2025年7月率先建立心胸整合病房,以围术期、围诊疗期心血管高危患者综合干预为核心。病房收治的患者,包括外科术前心血管高危或已合并心脏病者、内科围治疗期出现心血管问题者,以及多学科会诊后需要心内科介入治疗的其他患者等。
“我院的心胸实体化整合病房是上海地区首家,充分发挥了医院心胸联合诊治特长,进一步打破学科壁垒,能为患者‘心胸同护’。”胸科医院院长侯旭敏介绍道。截至今年3月底,医院心胸整合病房已累计收治患者571人次。对于冠脉病变不稳定、心功能差的患者,医生优先处理心脏问题,保证生命安全;如果心脏病情相对稳定,医生优先手术避免肿瘤进展。而当肿瘤患者遭遇突如其来的心脏“危机”,团队则要及时响应、精准决策,做好“守门人”。
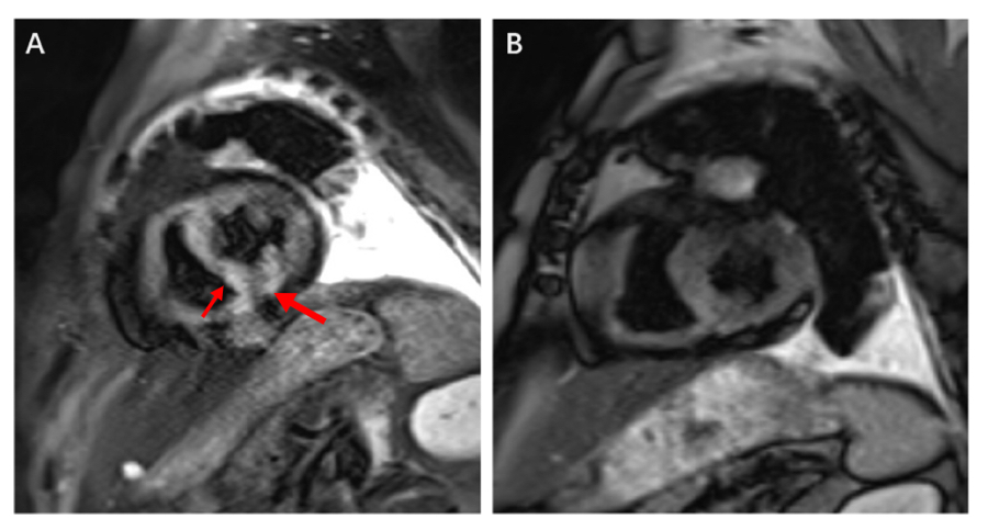
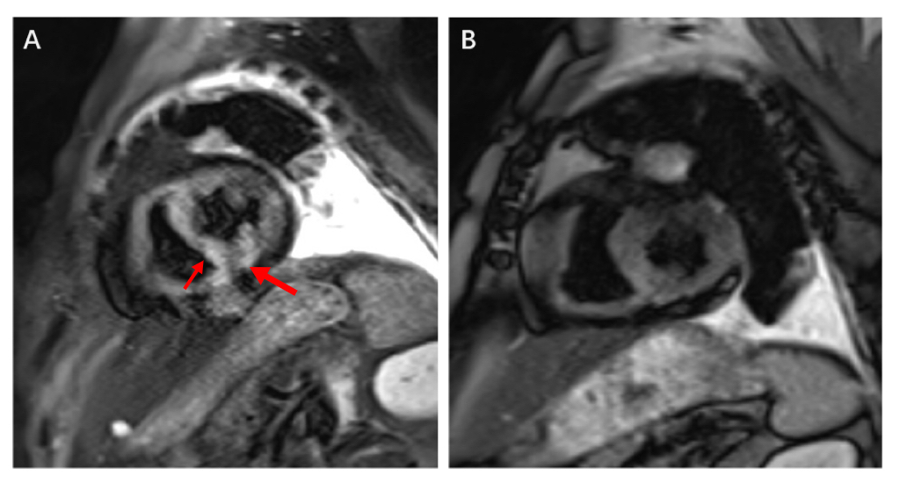
邓阿姨是“入住”过心胸整合病房的患者,她与肿瘤的抗争已持续近十年。但在一次常规治疗前,她的心肌肌钙蛋白突然显著升高,还出现了严重的室性早搏和室速!心脏一半时间都在“乱跳”,随时可能恶化为室颤或心脏骤停。韩文正副主任凭借丰富经验,迅速锁定元凶,是免疫检查点抑制剂相关性心肌炎,十分罕见但致死率极高!团队立即针对性地进行大剂量激素冲击治疗,用药第二天患者的心肌酶就开始回落,六周后心脏磁共振显示心肌水肿已基本消失。现在,邓阿姨仍继续在医院接受后续的抗肿瘤治疗,病情平稳。
图A 患者心肌水肿明显。 图B 出院后6周随访心肌水肿明显消退
胸科医院院长侯旭敏表示,上海市胸科医院始终以患者需求为导向,打破学科壁垒,从“以疾病为中心”转向“以患者为中心”。医院正以多学科协作的实际行动,诠释“以患者为中心”的服务理念。未来,医院将持续深化心胸联合诊疗模式,用个体化的“胸科方案”,为更多患者铺就生命之路。
启远网提示:文章来自网络,不代表本站观点。